بعد از هر جراحی، میتوان انتظار التهاب در ناحیه جراحیشده را داشت. در واقع، وجود التهاب، یک اتفاق طبیعی و موقت بعد از جراحی است. التهاب به طور طبیعی، باید پس از چند روز کاهش پیدا کند؛ اما درصورتیکه با درد ضربانی، بوی بد و ترشح همراه شود، میتواند نشاندهنده مشکلی جدی مانند عفونت باشد. بیماری پریایمپلنت با التهاب در اطراف ایمپلنت شروع میشود. باتوجهبه اهمیت التهاب لثه بعد از ایمپلنت، بهتر است در این فرصت، به بررسی روشهای درمان و علتها علائم این موضوع بپردازیم.
علائم التهاب لثه بعد از ایمپلنت (از خفیف تا شدید)
شناخت سریع و درمان التهاب لثه، بسیار مهم است. اما برای شناخت درست موقعیت و حالت التهاب، باید علائم طبیعی و کوتاهمدت لثه را از علائم هشداردهنده آن شناخت و تفکیک کرد. در واقع، مواجهه با علائم مختلف التهاب لثه بعد از ایمپلنت، در شرایط بالینی مختلف، نیاز به روش درمان متفاوت دارد. در ادامه به بررسی علائم طبیعی و کوتاهمدت و علائم هشداردهنده التهاب لثه بعد از ایمپلنت خواهیم پرداخت.
۱. علائم طبیعی و کوتاهمدت
قبل از بررسی موردی علائم طبیعی التهاب لثه بعد از ایمپلنت، به یاد داشته باشید که نشانههای آن، مدتزمان ۲ تا ۵ روز دوام دارد؛؛ التهاب طبیعی، بعد از این بازه زمانی، باید از بین برود.
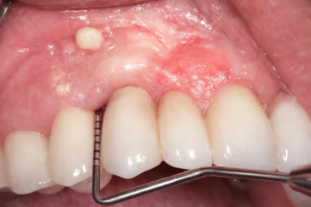
- التهاب یا تورم خفیف در لثه: بعد از اینکه بافت لثه در جراحی، شکافته و سپس بخیه میشود، بدن در آن ناحیه، التهاب ایجاد میکند تا کار ترمیم شروع شود؛ بنابراین وجود التهاب یا تورم خفیف در لثه، طبیعی است.
- واکنش لثه هنگام شستوشو: در صورتی که لثه، هنگام شستوشو بعد از جراحی، واکنش نشان دهد، امری طبیعی اتفاق افتاده است. در واقع، حساسیت قسمت جراحی شده نسبت به شستوشو، تا مدتها و تا زمان ترمیم کامل و تشکیل بافت دوباره، اتفاقی طبیعی است.
- تغییر رنگ صورتی لثه به قرمز و احساس فشار: از دیگر علائم طبیعی التهاب لثه بعد از کاشت ایمپلنت، تغییر رنگ آن به قرمز و احساس فشار در آن ناحیه است.
- حساسیت در اطراف بخیه: احساس غیرمعمول، مانند سوزش و فشار در اطراف بخیه هم بعد از کاشت ایمپلنت و ایجاد التهاب طبیعی است.
- دردی که با مسکن برطرف میشود: درد خفیف ناشی از التهاب که با مسکن برطرف میشود، نیازی به نگرانی ندارد.

۲. علائم هشداردهنده
بر خلاف موارد طبیعی التهاب بعد از ایمپلنت که به آنها اشاره شد، بر اساس مطالعات، مشاهده بعضی از علائم میتواند نشان از احتمال عفونت در پروسه درمان باشد؛ بنابراین بهتر است در صورت مواجه با این علائم، هر چه سریعتر به پزشک مراجعه کنید.
- سنگینی تورم در یک طرف: زمانی که تورم بعد از ایمپلنتگذاری، شدید میشود و احساس سنگینی در یک طرف ایجاد میکند، به پزشک مراجعه کنید.
- تداوم خونریزی و ترشح چرک: کمی خونریزی در روزهای اول کاشت ایمپلنت، اتفاقی عادی است. اما درصورتیکه خونریزی ادامهدار بود و چرک از ناحیه ایمپلنت ترشح کرد، میتواند نشانه عفونت باشد.
- درد کوبشی برای بیشتر از ۷ روز: وجود درد ضرباندار که بیش از هفت روز ادامه دارد، میتواند به معنای وجود عفونت ایمپلنت باشد.
- حس طعم فلز یا بوی بد دهان: دو نشانه دیگر که ممکن است به معنای وجود مشکل در کاشت ایمپلنت و عفونت کردن آن باشد، احساس طعم فلز و بوی بد غیرمعمول در دهان است.
- لقی روکش یا حرکت اباتمنت: لق شدن روکش ایمپلنت یا شل شدن اباتمنت میتواند میان ایمپلنت و لثه فاصله ایجاد کند و فضای رشد باکتریها را در این فاصله فراهم کند.
- احساس حرارت در محل ایمپلنت و تب: احساس گرما و تب در محل ایمپلنت، میتواند نشانه عفونت باشد.

علت التهاب لثه بعد از ایمپلنت چیست؟
التهاب لثه بعد از ایمپلنت میتواند به دلایل مختلفی رخ دهد. علت التهاب لثه میتواند از یکگیر غذایی ساده یا فشار روی روکش یا موارد دیگر باشد. در ادامه به معرفی و بررسی دلایل ایجاد التهاب لثه بعد از ایمپلنت خواهیم پرداخت.

۱. سیگار و کاهش خونرسانی به لثه
سالها است که مصرف دخانیات را به عنوان اولین علت کاهش گردش خون در بدن میشناسند. نیکوتین و دیگر سموم موجود در سیگار، باعث تنگ شدن عروق میشود و همین امر سبب میشود تا زخمهای بعد از جراحی ایمپلنت با سرعت کمتری ترمیم شوند و در نتیجه فضای مناسب التهاب و عفونت در ناحیه ایمپلنت، ایجاد شود.
۲. فشار زیاد روکش یا اباتمنت اشتباه
تنظیم اشتباه روکش یا ایجاد فاصله اباتمنت با روکش، باعث میشود تا فاصله بین ایمپلنت و لثه ایجاد شود. این فاصله میتواند به جایی ایدهآل برای رشد باکتری ایجاد شود.
۳. بهداشت ناکافی بعد از کاشت
پاکیزه نگه نداشتن اطراف ایمپلنت و دور نکردن پلاکهای دهان میتواند فضای رشد باکتری را در دهان فراهم کند و ایمپلنت را دچار اشتباه کند.
۴. آلرژی نادر به فلزات ایمپلنت
البته آلرژی به فلزات پزشکی مورد استفاده در ایمپلنت، بسیار نادر است. اما با این حال، امکان دارد تعداد کمی از افراد به خاطر آلرژی به آلیاژهای مورد استفاده در ایمپلنت دچار تورم لثه بعد از ایمپلنت شوند.
۵. جراحی و بخیهها (التهاب طبیعی اولیه)
عامل اصلی تورم لثه بعد از ایمپلنت، خودِ جراحی و بخیه است. استفاده از دهانشویه کلرهگزیدین و رعایت بهداشت دهان و دندان میتواند باعث کاهش التهاب لثه شود.
تفاوت التهاب لثه بعد از ایمپلنت با آبسه ایمپلنت
ممکن است شباهتی میان علائم و دلایل التهاب لثه و آبسه ایمپلنت وجود داشته باشد. برای اینکه بتوان این دو را از یکدیگر متمایز کرد، باید ویژگیهای هر کدام را به طور جداگانه بررسی کرد. در جدول پیشرو به بررسی تفاوتهای التهاب لثه و آبسه ایمپلنت خواهیم پرداخت.
| ویژگی | آبسه ایمپلنت | التهاب لثه |
|---|---|---|
| درمان | نیاز به مراجعه به متخصص | معمولا در خانه درمان میشود |
| چه زمانی بروز میکند؟ | در هر زمان امکان دارد؛ بعد از جراحی یا ماهها بعد از جراحی | از ۷ روز بعد از جراحی |
| میزان درد | شدید و کوبشی | خفیف تا متوسط |
| چرک | دارد | ندارد |
درمان التهاب و زخم لثه بعد از ایمپلنت
التهاب لثه بعد از ایمپلنت را میتوان به دو روش درمان کرد. یکی، درمانهای خانگی و دیگری درمانهای تخصصی که در کلینیک انجام میشود. باتوجهبه شرایط التهاب، میتوان تصمیم گرفت که باید از کدام یک از این دو روش برای درمان التهاب استفاده کرد؛ در ادامه به بررسی هر دو روش خواهیم پرداخت.
۱. کاهش التهاب در خانه
روشهای خانگی، بسیار ساده و قابل اجرا هستند. دقت داشته باشید که این روشها، تنها برای کاهش درد است و برای رفع عفونت و موارد اضطراری التهاب، کاربرد ندارند.
- دهانشویه با ترکیب نمک و آب ولرم: این محلول میتواند دردهای سطحی التهاب را تسکین دهد. شستشوی ملایم با محلول آب نمک گرم (نصف قاشق چایخوری نمک در یک لیوان آب ولرم) روزی ۲-۳ بار به مدت ۳۰ ثانیه، التهاب را کاهش میدهد و خاصیت ضدباکتریایی دارد.
- عدم مصرف دخانیات و الکل: کنار گذاشتن سیگار و مشروبات الکلی، بهخودیخود میتواند راهکار درمانی بهحساب بیاید.
- استفاده از نایت گارد و خواب کافی: زمانی که بدن به خواب عمیق میرود، فرصت پیدا میکند تا بافتهای جراحی شده را ترمیم کند؛ بنابراین خواب کافی در روند بهبودی التهاب، بسیار ساده و البته موثر است. در صورت فشار بیش از حد فک و دندانقروچه، بهتر است از نایت گارد استفاده کنید.
- پرهیز از خوردن غذاهای ادویهدار و داغ: بهتر است تا زمان ترمیم کامل بخیهها و کاهش التهاب، از غذاهای ادویهدار و داغ که باعث تحریک و تشدید التهاب میشوند، دوری کنید.
- کمپرس سرد: کیسه یخ پیچیده در پارچه را ۱۰-۲۰ دقیقه روی گونه قرار دهید و سپس استراحت کنید؛ این کار در ۴۸ ساعت اول ورم و درد را کم میکند.
- زردچوبه: خمیر زردچوبه با آب بسازید، ۵-۱۰ دقیقه روی لثه بگذارید و بشویید؛ خاصیت ضدالتهابی و آنتیباکتریال دارد.
- چای بابونه یا نعناع: چای خنکشده را غرغره کنید یا کیسه چای را کمپرس کنید تا التهاب تسکین یابد.
- سیر یا روغن میخک: سیر لهشده با عسل یا روغن میخک رقیقشده برای اثر ضدمیکروبی استفاده شود، اما بیش از ۵ دقیقه نماند.
- رعایت بهداشت دهان و دندان: از مسواک نرم برای شستوشوی دندانها و اطراف ایمپلنت استفاده کنید.

۲. درمان در کلینیک
گاهی روشهای درمان خانگی، دیگر جوابگو نیستند و با توجه به شرایط، باید به پزشک و کلینیک برای رفع التهاب مراجعه کرد؛ درمانهای تخصصی شامل این موارد میشود.
- تعویض یا اصلاح روکش و اباتمنت: گاهی عدم تقارن و فاصله اجزای ایمپلنت باعث التهاب میشود. برای رفع این مشکل و تنظیم ایمپلنت، باید به متخصص مراجعه کرد.
- شستوشوی تخصصی: در بعضی موارد، ممکن است شستوشوی عادی کافی نباشد. التهابهای متوسط یا شدید را باید با شستوشوهای ویژه، همراه با مواد ضدعفونیکننده در کلینیک انجام داد.
- بررسی فاصله ایمپلنت و لثه: گیر غذایی هم ممکن است شدت التهاب را بیشتر کند. برای بررسی فاصله ایمپلنت و لثه و رفع گیر غذایی، بهتر است به متخصص مراجعه کرد.
- آنتیبیوتیک: در صورتی که التهاب به مرحله عفونت رسیده باشد، پزشک در صورت صلاحدید، آنتیبیوتیک برای عفونت ایمپلنت تجویز میکند.
- پاکسازی لثه: ممکن است برای کاهش التهاب لثه، نیاز به پاکسازی حرفهای به دست متخصص داشته باشیم.
تورم لثه بعد از ایمپلنت چند روز طبیعی است؟
همانطور که اشاره شد، تورم لثه بعد از ایمپلنت میتواند عارضه طبیعی باشد. تورم طبیعی لثه بعد از کاشت ایمپلنت، معمولا از 3 تا ۵ روز، خفیف و بعد از روز پنجم تا هفتم، روند کاهشی داشته باشد. اما درصورتیکه ورم بیش از ۷ روز ادامه پیدا کند، پس روند آن غیرطبیعی است و نیاز به بررسی دندانپزشک متخصص دارد. تورم ادامهدار بعد از ۷ روز، معمولا به معنای عفونت یا فشار روکش و گیر غذایی است. این موارد باید به دست متخصص برطرف شود.
چگونه از التهاب لثه بعد از ایمپلنت جلوگیری کنیم؟
التهاب لثه بعد از کاشت ایمپلنت را میتوان با روشهای ساده و رعایت چند نکته کاهش داد. این نکات را تا پایان روند ترمیم بخیهها ادامه دهید.

- از مسواک سوپر سافت و دهانشویه استفاده کنید. مسواکی که فرچه آن بسیار نرم باشد و اصطکاک ایجاد نکند و از دهانشویه مناسب برای ایمپلنت استفاده شود.
- از نخ مخصوص ایمپلنت استفاده کنید. نخ دندانهای معمولی ممکن است برای قسمت جراحیشده، مناسب نباشد.
- مصرف دخانیات را کنار بگذارید. سموم سیگار، باعث التهاب بیشتر میشود.
- معاینه دورهای ۶ ماهه داشته باشید. برای بررسی شرایط ایمپلنت، هر ۶ ماه یکبار به دندانپزشک مراجعه کنید.
- غذاهایی با بافت نرم استفاده کنید.
- محله جراحی را از فشار و ضربه، دور نگه دارید.
خطرات بیتوجهی به التهاب لثه بعد از ایمپلنت
در صورتی که به التهاب ایمپلنت، بیتوجه باشید و روند آن را بررسی نکنید، ممکن است این خطرات شامل حال ایمپلنت شود.
- امکان عفونت و آبسه ایمپلنت بالا میرود.
- احتمال شکست ایمپلنت بر اثر پری ایمپلنت، افزایش پیدا میکند.
- ممکن است لثه عقبنشینی کند.
- امکان شل شدن اباتمنت وجود دارد.
- التهاب و عفونت، عامل تاثیرگذار در تحلیل رفتن استخوان است.
همچنین بخوانید: عوارض ایمپلنت دندان
در نهایت، لثههای سالم، راز دوام ایمپلنت شما هستند!
ضامن اصلی داشتن ایمپلنت سالم، داشتن لثهای محکم و سلامت است. بنابراین رعایت نکات مربوط به التهاب لثه، بعد از ایمپلنت، بسیار مهم است. گفتنی است که بیشتر التهابهای ایمپلنت با درمانهای ساده درمان میشوند. اما در صورتی که دیر اقدام کنید، باید انتظار عفونت و بیماریهایی مانند پریایمپلنتاتیس را داشته باشید. بهتر است معاینه و مشاوره در کلینیکهای تخصصی و باسابقه را در برنامه بهداشت دهان و دندان خود قرار دهید تا از عوارض جدی التهاب لثه بعد از ایمپلنت، ایمن بمانید.
سوالات متداول بیماران – پاسخهای تخصصی
تورم و التهاب خفیف لثه تا حدود ۳ تا ۵ روز طبیعی است و باید حداکثر تا روز هفتم کاهش پیدا کند.
التهاب خفیف طبیعی است، اما اگر با درد شدید، چرک، بوی بد یا تداوم بیش از ۷ روز همراه باشد، میتواند خطرناک باشد.
رعایت بهداشت دهان، دهانشویه آبنمک ولرم، پرهیز از سیگار و غذاهای داغ و استفاده از مسواک نرم کمککننده است.
بله، دهانشویه کلرهگزیدین در صورت تجویز پزشک میتواند به کاهش التهاب و پیشگیری از عفونت کمک کند.
تورم خفیف طبیعی است، اما تورم شدید، یکطرفه یا همراه با چرک و تب میتواند نشانه عفونت باشد.
بله، بیتوجهی به التهاب و تبدیل آن به عفونت یا پریایمپلنتیت میتواند منجر به شل شدن یا شکست ایمپلنت شود.