یکی از دغدغههای کاشت ایمپلنت، آبسه لثه بعد از ایمپلنت است. دلیلی که آبسه لثه بعد از جراحی و کاشت ایمپلنت به عنوان یک دغدغه محسوب میشود، این است که آبسه امکان تورم، التهاب و عفونت در ایمپلنت را بالا میبرد!
این موضوع میتواند برای سلامت دهان و دندان به عنوان یک خطر جدی به حساب بیاید و دوام ایمپلنت را کم کند و موجب شکست آن شود. علائمی مانند درد، چشم و بوی بد دهان از مهمترین نشانههای آبسه به شمار میآیند. اما گفتنی است که آبسه لثه بعد از کاشت ایمپلنت، قابل درمان است. تنها نکته مهم این است که آبسه و دلیل به وجود آمدنش را بشناسیم تا بتوانیم بهترین راهکار را برای برطرف کردن آن در نظر بگیریم.
در ادامه به بررسی آبسه ایمپلنت خواهیم پرداخت و راههای درمان آن را بررسی خواهیم کرد.
علت آبسه لثه بعد از ایمپلنت چیست؟
دلایل مختلفی وجود دارند که میتوانند عامل به وجود آمدن آبسه لثه بعد از ایمپلنت باشند. بر اساس مطالعات، از تجمع باکتریها گرفته تا انباشت خردهغذا در اطراف ایمپلنت یا زیر روکش و همچنین جراحی سخت و عدم خونرسانی به لثه و دیگر عوامل، میتوانند علت آبسه لثه بعد از ایمپلنت باشند. در ادامه به طور مجزا به شناخت هر کدام از این دلایل به وجود آمدن آبسه خواهیم پرداخت.

۱. تجمع باکتری و ضعف بهداشت دهان
در نگاه اول، رعایت بهداشت دهان و دندان کاری ساده است؛ اما بسیاری از افراد از انجام مداوم این کار مهم، موفق نیستند! سادهترین راه فرصت دادن به باکتریها برای رشد و تجمع، رعایت نکردن بهداشت دهان و دندان است. تجمع باکتریها در اطراف ایمپلنت باعث آبسه و ایمپلنت میشود. با نخ دندان کشیدن، مسواک زدن (به ویژه اطراف ایمپلنت) و استفاده نکردن از واتر جت یا دهانشویه در ماههای اول نقاهت میتوان جلوی آبسه و عفونت را گرفت.
۲. گیر غذایی اطراف اباتمنت
گاهی خردههای غذا در فاصله ایجاد شده بین اباتمنت و روکش گیر میکنند و به مکانی مناسب برای رشد باکتریها تبدیل میشوند. گیر غذایی به جایی برای رشد باکتریها تبدیل میشود. سپس رشد باکتریها، التهاب ایجاد میکند و در نهایت آبسه چرکی رخ میدهد.
۳. جراحی سخت و خونرسانی کم به لثه
جراحیهایی مانند ایمپلنت فوری، سینوس لیفت و پیوند استخوان از روندهای پیچیده برخوردارند. به همین خاطر، ممکن است در روند خونرسانی به لثه و ترمیم آن و بافت جراحی شده، فاصله ایجاد شود و همین موضوع میتواند فرصت رشد به باکتریها در ناحیه ایمپلنت و به وجود آمدن آبسه بدهد.
4. شل شدن پیچ اباتمنت یا روکش
یکی از علتهای آبسه بعد از ایمپلنت، شل شدن پیچ ایمپلنت یا اباتمنت است. زمانی که اباتمنت شل شود، بین ایمپلنت و روکش فاصله میافتد. فاصله ایجاد شده هم به جایی مناسب برای رشد باکتری تبدیل میشود. جالب است بدانیم که این فاصله را نمیتوان با هیچ ابزار معمولی مانند مسواک، تمیز کرد. این موضوع ممکن است سالها بعد از کاشت ایمپلنت رخ دهد.
۵. سیگار و دیابت
گفتنی است که نیکوتین و سموم دیگر موجود در سیگار، امکان خونرسانی لثه را کاهش میدهند. بنابراین یکی از عوامل اصلی آبسه ایمپلنت را میتوان مصرف دخانیات در نظر گرفت. زمانی که خونرسانی به ایمپلنت انجام نمیشود، روند ترمیم و حفاظت از بافت جراحی شده کاهش مییابد. همین اتفاق باعث تجمع باکتریها و رشد آنها در ناحیه ایمپلنت میشود.
دیابت هم با کاهش خونرسانی باعث اختلال سیستم ایمنی بدن میشود و روند ترمیم و درمان ایمپلنت را کند میکند. همین عوامل برای ایجاد آبسه ایمپلنت کافی است.
۶. استفاده از ایمپلنتهای بیکیفیت
گاهی ممکن است خدمات ارزانتر، نظر ما را برای کاشت ایمپلنت به خود جلب کند. اما گفتنی است که هر ارزانی، بی حکمت نیست! در واقع، ارزانتر بودن کاشت ایمپلنت و ترمیم آن میتواند به معنای استفاده از برندهای نامعتبر ایمپلنت باشد.
قطعات بیکیفیت و مواد ناخالص در برندهای شناخته نشده میتواند از عوامل به وجود آمدن آبسه بعد از ایمپلنت و ایجاد عفونت در لثه باشند. طراحی نادرست ایمپلنتهای بیکیفیت، فاصله بین بدنه ایمپلنت و لثه ایجاد میکند و اتصال یکپارچه ندارد. این نقص، راهی برای رشد باکتریها در فاصلههای بین لثه و ایمپلنت ایجاد میکند.
۷. عفونت ایمپلنت
عفونت را نباید با آبسه اشتباه گرفت! در واقع آبسه ایمپلنت، نشانه شروع عفونت در آن ناحیه است. به همین خاطر، آبسه بعد از ایمپلنت را باید جدی گرفت. برای اینکه بتوان عفونت را از آبسه تشخیص داد، بهتر است نشانههای هر کدام را بررسی کرد. آبسه معمولا با چرک و تورم نقطهای و درد همراه است اما عفونت با التهاب و تحلیل استخوان در اطراف ایمپلنت، خود را نشان میدهد.
تفاوت آبسه ایمپلنت با عفونت ایمپلنت
آبسه ایمپلنت، مرحله قبل از عفونت به حساب میآید؛ در واقع، تکرار آبسه، به عفونت تبدیل میشود. با اینکه رابطه علت و معلولی مستقیم میان این دو هست، اما تفاوتهایی را میتوان میان عفونت ایمپلنت و آبسه ایمپلنت برشمرد. در جدول پیشرو، به بررسی تفاوتهای این دو خواهیم پرداخت.
| مشاهده | عفونت ایمپلنت | آبسه ایمپلنت |
|---|---|---|
| درد | خفیف تا متوسط اما مداوم | شدید به صورت ضربان |
| درمان | جرمگیری با عمق، جراحی ایمن | مصرف آنتی بیوتیک و تخلیه |
| تحلیل استخوان | دارد | معمولا ندارد |
| چرک | امکان دارد چرک نداشته باشد | معمولا دارد |
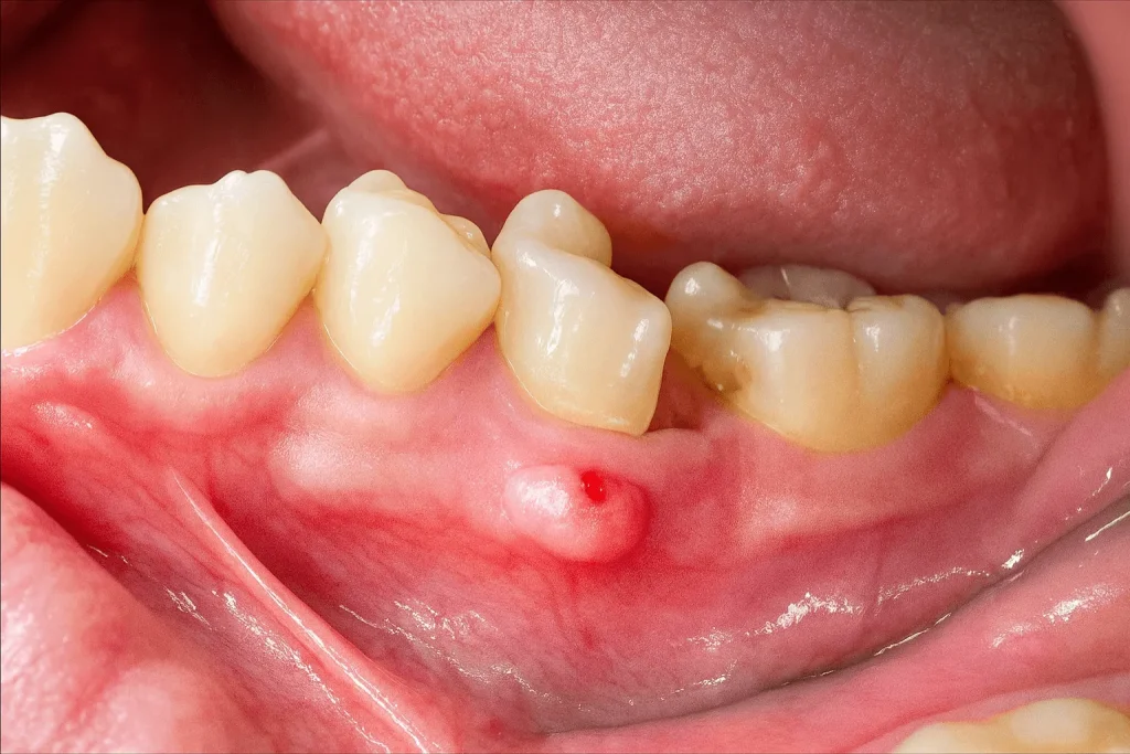
علائم آبسه ایمپلنت (از خفیف تا شدید)
برای اینکه هر علامتی را با آبسه ایمپلنت اشتباه نگیریم، بهتر است با علائم اصلی آن آشنا شویم. شناخت علائم اصلی میتواند به ما برای پیشگیری از تبدیل شدن آبسه به عفونت کمک کند. آبسه ایمپلنت میتواند با علائم زیر همراه باشد.
علائم اولیه آبسه اطراف ایمپلنت
- احساس درد در اطراف ایمپلنت به صورت خفیف: درد را اولین علامت برای شروع آبسه در نظر میگیرند. اما باید دقت داشت که درد بعد از ایمپلنت، صرفا به معنای شروع آبسه نیست. بهتر است تا ۷۲ ساعت بعد از کاشت ایمپلنت صبر کرد و بعد، درد را نشانه آبسه ایمپلنت در نظر گرفت.
- استشمام بوی بد: بوی بد هم میتواند از ویژگیهای عادی فضای مرطوب دهان باشد. اما بوی بد دهان ناشی از ایمپلنت غیرمعمول میتواند نشانه آبسه ایمپلنت به حساب بیاید.
- فشار آزاردهنده در لثه: میزان فشاری که برای جویدن، به فک میآوریم، طبیعی است. اما در صورتی که بعد از ایمپلنت، فشار فک بیشتری دریافت کنیم، میتواند به معنای وجود آبسه باشد.
- حساسیت هنگام جویدن: به یاد داشته باشیم که احساس جویدن بعد از ایمپلنت، باید مانند حالت عادی، به صورت طبیعی و بدون حساسیت باشد. در صورتی که حساسیتی در جویدن بعد از ایمپلنت داریم، پس امکان آبسه ایمپلنت وجود دارد.خوشبختانه باید گفت که این علائم از آبسه ایمپلنت را میتوان به راحتی درمان کرد و جای نگرانی نیست.
- قرمزی، تورم یا گرم شدن لثه در اطراف ایمپلنت.

علائم آبسه چرکی و شدید
بر خلاف علائم آبسه خفیف که به آنها اشاره شد، علائم آبسه چرکی و شدید را باید جدی گرفت. این علائم میتوانند نشاندهنده این باشند که آبسه در حال تبدیل شدن به عفونت است و امکان تحلیل استخوان وجود دارد. این علائم، شامل موارد زیر میشود.
- مشاهده واضح چرک و احساس درد شدید: این دو علامت را نباید دستکم گرفت و بهتر است هر چه سریعتر به پزشک مراجعه کرد.
- درد با احساس ضربان: زمانی که درد با حالت کوبشی مانند ضربان همراه است، احتمال چرک، بسیار زیاد است.
- چرک به رنگ سفید یا زرد: این دو رنگ نشان میدهد که عفونت بادوام شده است.
- تب: اصلیترین نشانه عفونت، تب است.
- احساس سفت شدن گونه و لثه: سفت شدن این دو ناحیه، نشان میدهد که بافت آبسه از حجم عفونت سفت شده است و نیاز به مراجعه اورژانسی دارد. البته تمام علائمی که در این بخش به آنها اشاره شد، نیاز به درمان فوری دارند.

آبسه دندان ایمپلنت شده چه عوارضی دارد؟
از آنجایی که در این فرصت، به طور مشخص به بررسی آبسه ایمپلنت پرداختیم، پس بهتر است پاسخ دقیقی به این سوال بدهیم که عوارض آبسه ایمپلنت، چه مواردی را شامل میشود. معمولا عوارض آبسه ایمپلنت شامل این موارد میشود:
- استخوان اطراف ایمپلنت تحلیل میرود.
- اباتمنت یا روکش شل میشود.
- ایمپلنت در مواردی نادر با شکست کامل مواجه میشود.
- دهان بوی بد و غیرمعمول میدهد.
- درد شدید و تورم احساس میشود.
بهتر است در صورت مشاهده این عوارض، هر چه زودتر به پزشک مراجعه کرد. هر چه مراجعه دیرتر شود، امکان آسیب دیدن و از بین رفتن ایمپلنت، بیشتر است.
روش تشخیص آبسه ایمپلنت (پزشکی و خانگی)
با توضیحاتی که ارائه شد، ممکن است این سوال به وجود بیاید که برای تشخیص آبسه ایمپلنت از چه راهکارهایی میتوان استفاده کرد؟ در پاسخ میتوان گفت که راههای تشخیص آبسه بعد ایمپلنت به دو دسته تشخیص خانگی و تخصصی، تقسیم میشود. در ادامه به بررسی این دو روش خواهیم پرداخت.
روش خانگی
روشهای تشخیص خانگی بسیار ساده و کاربردی هستند. البته این روشها، تنها برای تشخیص اولیه است.
- بررسی وجود تورم موضعی: با دست، محل ایمپلنت را لمس کنید و ببینید که آیا تورم موضعی رخ داده است یا خیر.
- لمس و حس درد: با لمس کردن ناحیه ایمپلنت از روی پوست، ببینید که آیا درد دارید یا خیر.
- احساس درد ضربانی
- احساس طعم بد در دهان یا خروج چرک
روش پزشکی
بعد از تشخیص خانگی و حدسهای اولیه، برای تشخیص تخصصی به پزشک مراجعه کنید. تشخیص تخصصی، شامل این موارد میشود.
- بررسی شل بودن اباتمنت یا روکش
- بررسی رابطه لثه با اباتمنت
- بررسی استخوان برای تشخیص تحلیل آن
- ارزیابی وجود چرک و خارج کردن آن در صورت لازم
- تهیه عکس رادیوگرافی از ناحیه ایمپلنت برای بررسیهای بیشتر
درمان آبسه ایمپلنت (مرحلهبهمرحله و قابل اجرا در کلینیک)
درمان آبسه ایمپلنت، به طور کامل به شرایط آبسه و شرایط آن بستگی دارد. با توجه به شرایط آبسه، از هر کدام از روشهای آبسه ایمپلنت استفاده میکنیم.
- روش اول، لیزر درمانی یا جرمگیری عمیق (تخصصی): در صورتی که آبسه ایمپلنت از نوع متوسط تا شدید بود، از این روش استفاده میکنیم.
- روش دوم، مصرف آنتی بیوتیک: استفاده از آنتی بیوتیک باید با تجویز پزشک انجام شود.
- روش سوم، بررسی استخوان: در صورتی که استخوان به خاطر آبسه و عفونت تحلیل رفته باشد، باید بررسی دقیقتری از ایمپلنت انجام شود و همچنین ممکن است روند درمان طولانیتر باشد.
- روش چهارم، شستوشوی عمیق اطراف ایمپلنت: در صورت نیاز، از دهانشویه کلروهگزیدین یا سرم برای شستوشوی اطراف ایمپلنت در جهت رفع آبسه استفاده میشود.
- روش پنجم، تخلیه چرک: در این مرحله که از مراحل اولیه به حساب میآید، تورم باز میشود و چرک تخلیه میشود.
درمانهای خانگی آبسه بعد از ایمپلنت (فقط برای کاهش درد)
باید دقت داشت که این روشهای خانگی، تنها برای کاهش درد هستند و راه درمان قطعی آبسه بعد از ایمپلنت به حساب نمیآیند.
- کمپرس سرد بیرون دهان: گذاشتن کمپرس سرد روی پوست گونه در ناحیه آبسه (فواصل ۱۰–۱۵ دقیقه)
- بهداشت دقیق اطراف ایمپلنت: مسواک نرم ۲ بار در روز، تمرکز روی خط لثه و استفاده از نخ، سوپرفلاس یا برس بیندندانی مخصوص ایمپلنت
- دهانشویههای آنتیباکتریال ملایم: استفاده کوتاهمدت از دهانشویههای ضدباکتری یا محلول رقیقشده پراکسید هیدروژن
- مسکنهای عمومی بدون نسخه: ایبوپروفن یا استامینوفن طبق دوز توصیهشده برای درد و التهاب
- دهانشویه آب نمک ولرم: نصف قاشق چایخوری نمک در یک لیوان آب ولرم، چرخاندن آرام در دهان ۳۰–۶۰ ثانیه، ۲–۳ بار در روز
نکته: علاوه بر رعایت این روشها، به هیچ وجه خودتان چرک را تخلیه نکنید و از مصرف آنتی بیوتیک بدون تجویز پزشک خودداری کنید.

چگونه از آبسه ایمپلنت جلوگیری کنیم؟
با رعایت نکاتی ساده مانند موارد زیر، میتوان از ایجاد آبسه بعد از ایمپلنت جلوگیری کرد:
- روزی دوبار مسواک بزنید
- از نخ دندان مخصوص ایمپلنت استفاده کنید.
- مصرف دخانیات را کنار بگذارید!
- هر شش ماه به دندانپزشک مراجعه کنید.
- از برندهای معتبر ایمپلنت استفاده کنید.
- در هفتههای اول بعد از ایمپلنت، از خوردن غذاهای سفت پرهیز کنید.
- دیابت خود را کنترل کنید.
چه زمانی آبسه بعد از ایمپلنت طبیعی نیست و باید فورا به دندانپزشک مراجعه کرد؟
بر اساس مطالعات، بعضی از علائم در آبسه ایمپلنت هستند که بعد از مواجه شدن با آنها، باید هر چه سریعتر به پزشک مراجعه کنید. این علائم شامل این موارد میشود.
- خونریزی مداوم
- روکش یا اباتمنت شل شود.
- تب
- تورم (شدید)
- درد ضربانی و کوبشی و ادامهدار برای بیش از یک شبانهروز
- خارج شدن چرک
- احساس بوی مداوم و غیرمعمول در دهان
در نهایت، وقتی لثه حرف میزند، بهتر است گوش کنیم!
زمانی که نشانههای غیرعادی از لثه بعد از ایمپلنت میبینیم، بهتر است جوانب را در نظر بگیریم و برای بررسی بیشتر به دندانپزشک مراجعه کنیم. در صورتی که آبسه ایمپلنت به موقع بررسی شود، امکان درمان آن، بیشتر و راه برطرف کردناش آسانتر خواهد بود. اما در صورتی که آبسه ایمپلنت را نادیده بگیریم، باید انتظار داشت که آبسه به عفونت تبدیل شود و در موقعیتهای وخیمتر، به شکست ایمپلنت منتهی شود. بنابراین بهتر است، علائم و راهکارهایی که در این مطلب در مورد آبسه ایمپلنت ارائه شد را رعایت کنیم تا با عفونت ایمپلنت و شکست آن و مشکلات بزرگتر دهان و دندان مواجه نشویم.
سوالات متداول بیماران – پاسخهای تخصصی
در صورتی که تورم موضعی و درد ضربانی همراه با خارج شدن چرک باشد، پس آبسه است و نه التهاب ساده
خیر. آبسه ایمپلنت باید تحت درمان تخصصی قرار بگیرد و به دست جراح دندانپزشک، تخلیه شود. در غیر اینصورت، به خودیِ خود، از بین نمیرود.
معمولا از روز سوم تا دو هفته بعد از جراحی، شایعتر است. البته ممکن است بعد از گذشت سالها و ماهها هم به وجود بیاید.
در صورتی که درمان نشود، بله.
دهانشویه، تنها میتواند از شدت التهاب کم کند و نمیتواند راهکار درمانی باشد.
در صورتی که روکش شل شود یا گیر غذایی اتفاق بیافتد، بله این امکان وجود دارد که ایمپلنت پس از سالها دچار آبسه شود.
بله. درمان سریع میتواند خطرات آبسه را از ایمپلنت دور کند. در صورتی که آبسه شدید باشد، ممکن است نیاز به تعویض ایمپلنت باشد.